Dentist Grand Prairie
Dentistry Exceeding the Highest Standards
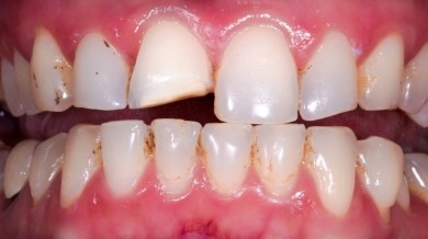
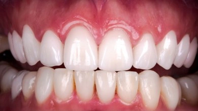
Our extensive experience and elite training deliver the highest quality care as your dentist in Grand Prairie, including everything from dental checkups and gentle periodontal cleanings to award-winning full mouth rehabilitation with dental implants, orthodontic treatments, and same-day emergency dentistry.
 
             
             
         
         
         
         
             
             
                 
                 
                